
Under normal tillväxt och utveckling är formen på barnets nedre extremiteter ofta hjulbent (knäna långt ifrån varandra) hos den nyfödda; vid två års ålder är extremiteterna mycket raka; vid tre–fyra års ålder utvecklar extremiteterna en kobent form (knäna böjda inåt). Kobentheten avtar när barnet når skolåldern, då en normal vinkel på cirka 6 grader mellan lårbenet och skenbenet uppnås. Formen på de nedre extremiteterna påverkas kraftigt av ärftliga faktorer. I sällsynta fall kan Blounts sjukdom, som orsakar hjulbenthet, också förekomma hos barn. Vid denna sjukdom störs utvecklingen av tillväxtbrosket av okänd anledning, vilket leder till en felställning i benet. D-vitaminbrist kan leda till att den mekaniska axeln i de nedre extremiteterna snedvrids (vanligtvis hjulbenthet).
Symtom och fynd
Vid födseln är barnet som en del av den normala utvecklingen hjulbent (genu varum). Denna benposition förändras till kobenthet (genu valgum) vid ungefär två års ålder. I takt med att de nedre extremiteterna utvecklas rätas kobentheten ut i skolåldern. Hjulbenthet eller kobenthet orsakar sällan smärta eller funktionsnedsättning.
Diagnos
Hjulbenthet och kobenthet konstateras genom att titta på barnet när det rör sig och står stilla. Vid behov ger en biddiagnostisk undersökning av de nedre extremiteterna ytterligare information om de nedre extremiteternas läge och stöder valet av behandling.
Om den mekaniska axeln i de nedre extremiteterna är onormal, t.ex. om ett 4-årigt barn konstateras vara hjulbent eller om knäna inte har rätats ut vid 10 års ålder, om barnet snubblar på sina fötter eller om det finns en tydlig skillnad mellan benen, bör en läkare rådfrågas.
Behandling
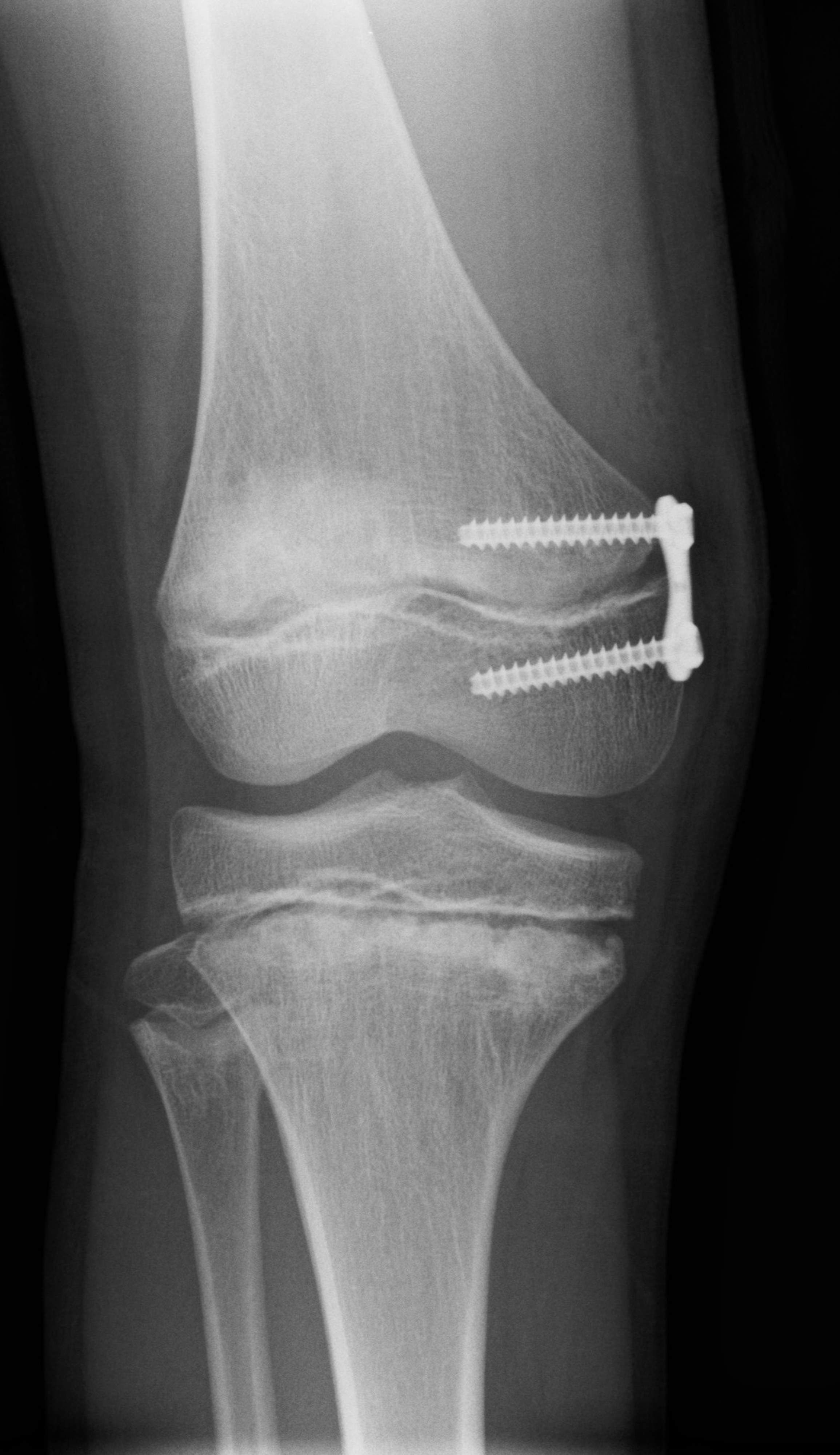
Läkaren bedömer om det finns behov av uppföljning eller behandling. Kirurgisk behandling är sällan aktuellt. Den vanligaste operationsmetoden syftar till att påverka de nedre extremiteternas position genom att utnyttja den återstående tillväxten. Under narkos placeras en platta vid tillväxtlinjen för att blockera tillväxten från plattans kant och korrigera felställningen. Plattan kan avlägsnas vid behov när korrigeringen är klar.




