
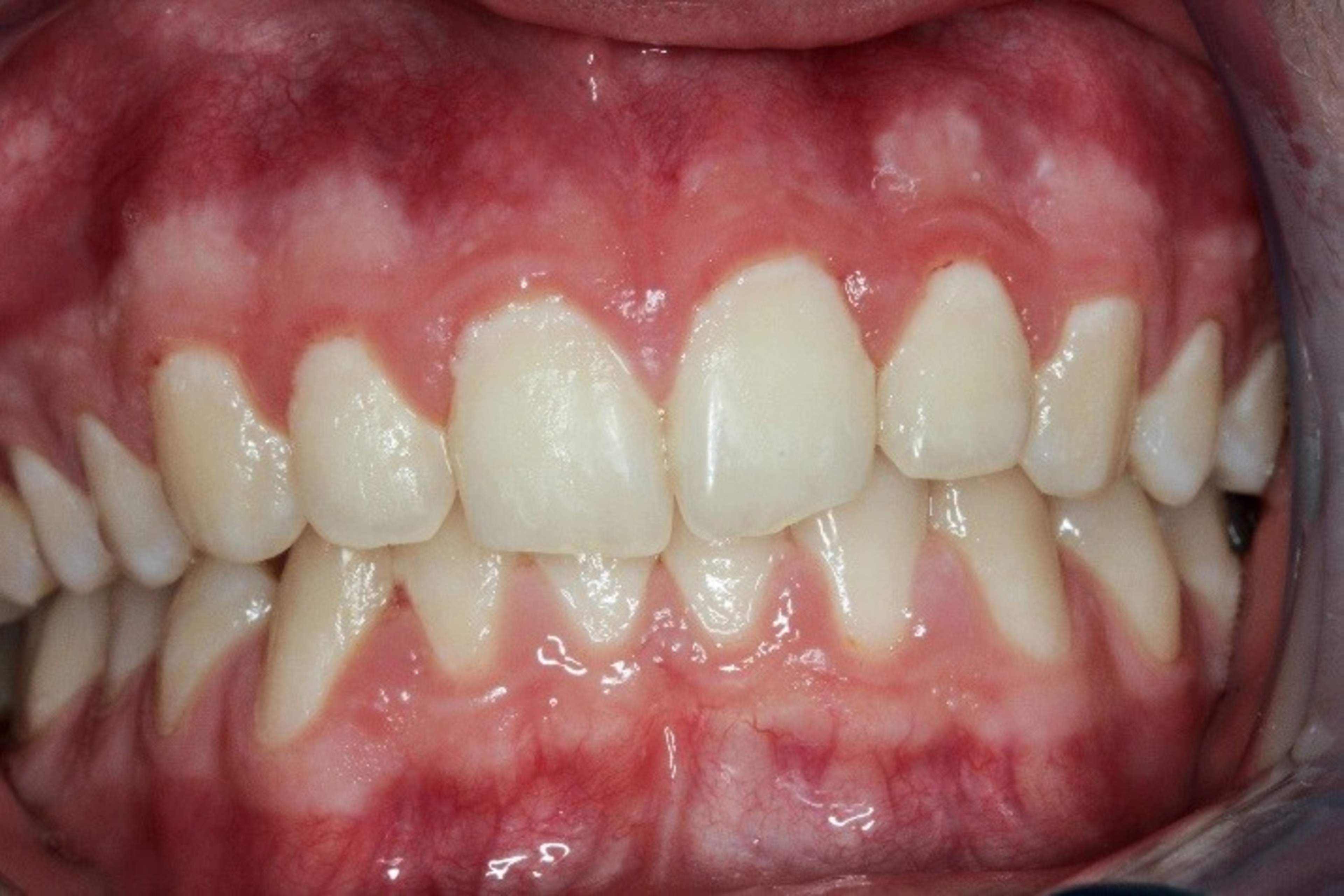
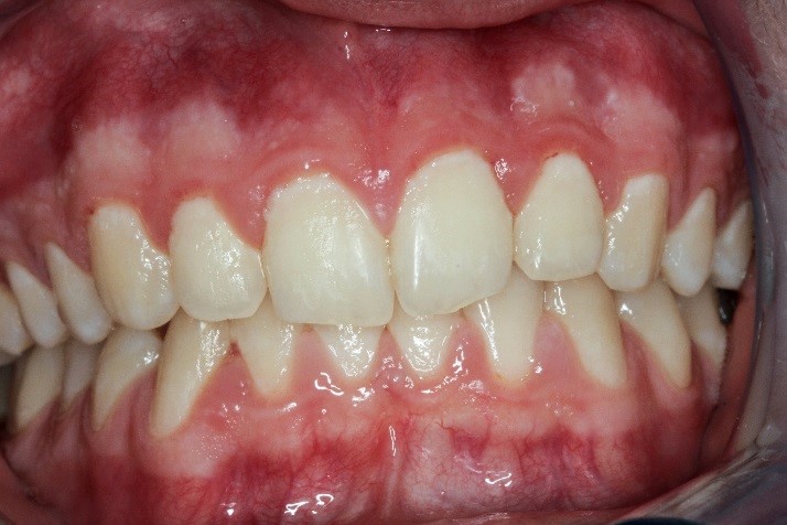
Om munmikrober inte avlägsnas tillräckligt ofta kan de orsaka inflammation i tandköttet. Symtomen är oftast blödningar när man borstar tänderna, men t.ex. användning av tobaksprodukter eller tandköttsförstoring som orsakas av vissa läkemedel kan minska den synliga blödningen, vilket gör att inflammationen i tandköttet syns först i en professionels undersökning.
En tandköttsinflammation förebyggs och behandlas genom att intensifiera egenvården och mekaniskt ta bort bakteriell plack. Tänderna ska borstas två gånger om dagen och tandmellanrummen ska rengöras regelbundet. Om bakteriebeläggningen inte tas bort förhårdnar den till tandsten på tandytan och under tandköttet och ökar ytterligare inflammationen. Då är det nödvändigt med en borttagning av tandsten som utförs av en yrkesperson inom munhälsovården och en regelbunden uppföljning av situationen.
Hos personer med diabetes bör munhälsan kontrolleras regelbundet. Undersöknings- och behandlingsintervallet bestäms individuellt.

