
Lapsen alaraajojen muoto noudattaa normaalissa kasvussa ja kehityksessä usein tyypillisesti tiettyä kaavaa. Vastasyntyneellä todetaan länkisääret (polvet etäällä toisistaan), ja kahden vuoden iässä raajat ovat hyvin suorat. 3–4 vuoden iässä lapsille kehittyy pihtipolvisuus (polvet sisäänpäin taipuminen). Pihtipolvet väistyvät kouluikään tultaessa, jolloin saavutetaan normaali noin 6 asteen kulma reisiluun ja sääriluun välille. Alaraajojen muotoon vaikuttavat vahvasti perinnölliset tekijät. Lapsilla saattaa harvoin esiintyä myös länkisäärisyyttä aiheuttavaa Blountin tautia. Taudissa kasvuruston kehitys on tuntemattomasta syystä häiriintynyt aiheuttaen säären virheasennon. D-vitamiinin puutos saattaa aiheuttaa alaraajojen mekaanisen akselin vääristymisen (tavallisimmin länkisääret).
Oireet ja löydökset
Syntymähetkellä alaraajoissa on normaaliin kehitykseen kuuluen länkisääret (genu varum). Tämä alaraajojen asento muuttuu noin kahteen ikävuoteen mennessä pihtipolvimaiseksi (genu valgum). Alaraajojen kehityksen edetessä pihtipolvet suoristuvat kouluikään mennessä. Länkisäärisyys tai pihtipolvisuus aiheuttavat harvoin kipuja tai toiminnallista haittaa.
Toteaminen
Länkisääret ja pihtipolvet todetaan katsomalla lasta liikkuessa ja paikallaan seisten. Tarpeen mukaan alaraajojen kuvantaminen röntgentutkimuksella antaa lisätietoa alaraajojen asennosta ja tukee hoitovalintaa.
Hoito
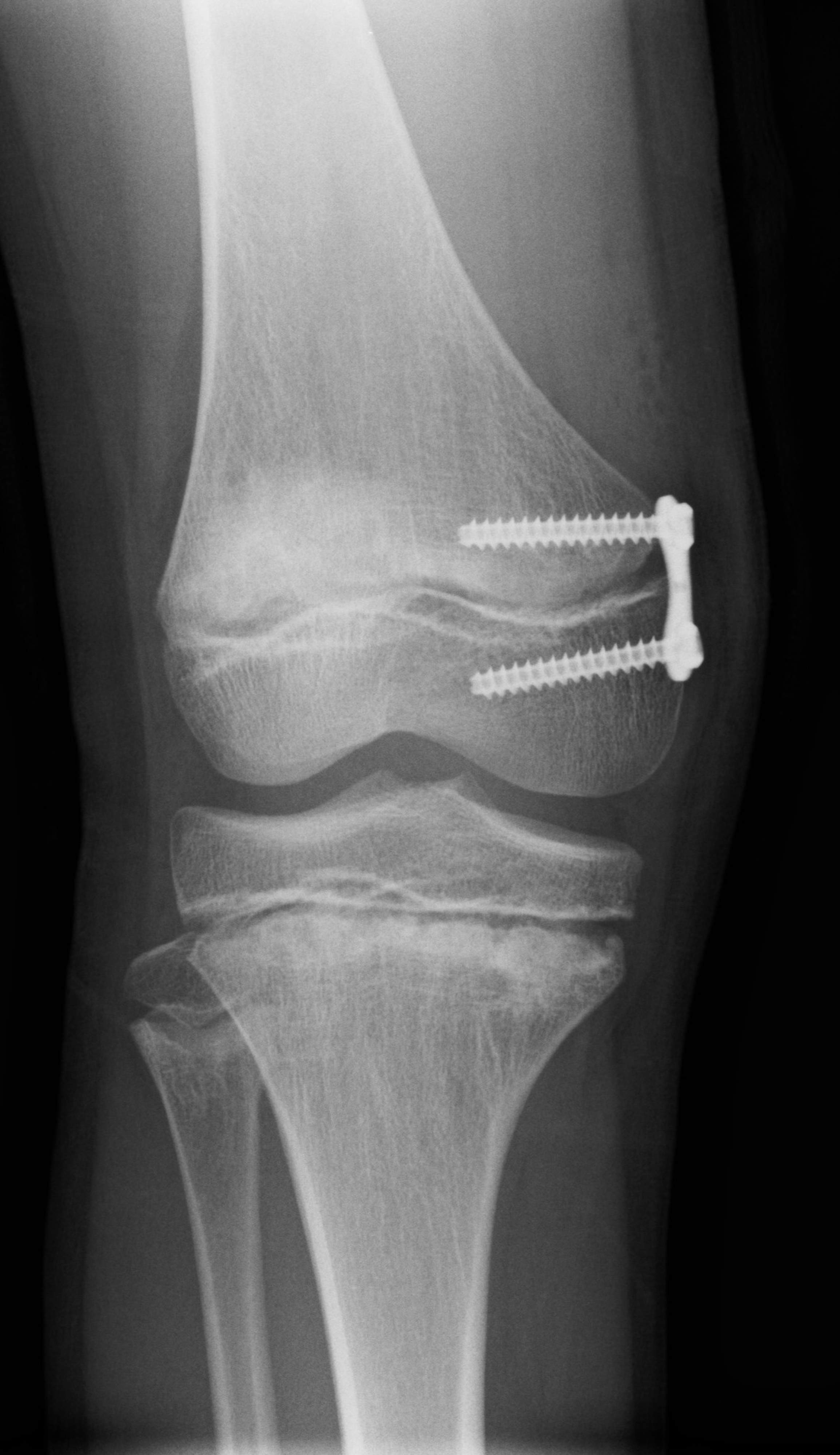
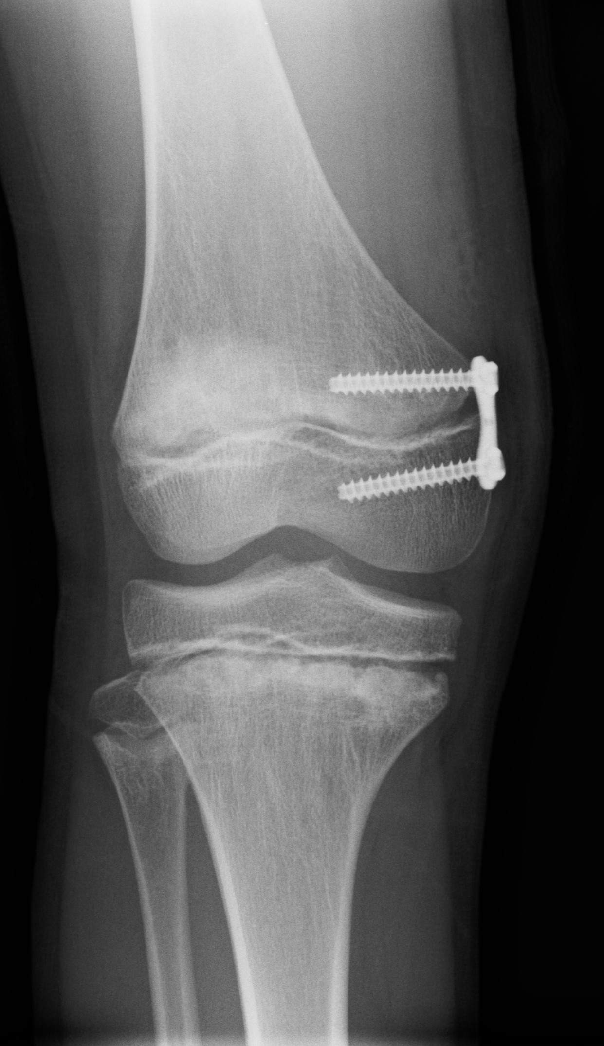
Lääkäri arvioi seurannan tai hoidon tarpeen. Leikkaushoito tulee harvoin kyseeseen. Yleisimmässä leikkausmenetelmässä alaraajojen asentoon pyritään vaikuttamaan hyödyntämällä jäljellä olevaa kasvua. Nukutuksessa tehtävässä toimenpiteessä asetetaan kasvulinjan kohdalle levy, joka estää kasvua levyn puoleiselta reunalta korjaten virheasentoa. Levy yleensä poistetaan, kun korjaus on saavutettu.




