Sydämen magneettitutkimusta käytetään yhä useammin sydänsairauden syyn selvittelyssä, mikäli se ei ole selvinnyt ultraäänitutkimuksen ja muiden perusselvittelyiden jälkeen. Magneettitutkimus perustuu voimakkaan magneettikentän aiheuttamiin signaaleihin kudoksesta ja sillä on hyvä erotuskyky muun muassa sydämen rakenteisiin.
Sydämen magneettitutkimus
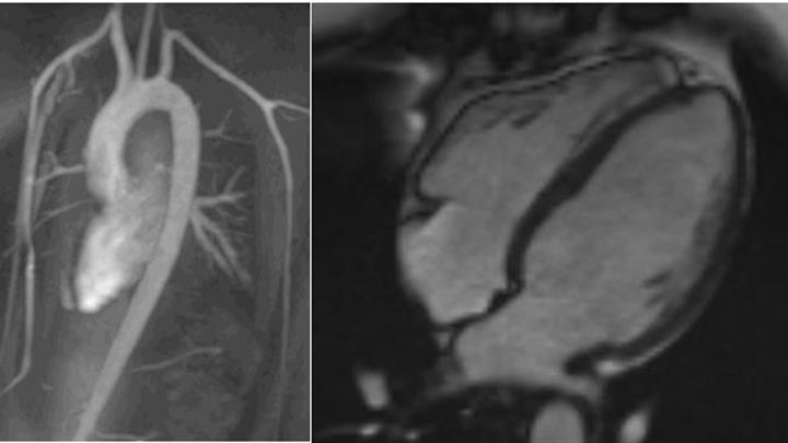
Sydämen magneettitutkimus antaa tarkkaa tietoa sydämen rakenteista ja toiminnasta.
Saat potilasohjeen, jossa kerrotaan tutkimukseen valmistautumisesta.
Muista täyttää esitietolomake ja ota se mukaan tutkimukseen tullessasi. Röntgenhoitaja käy lomakkeen kanssasi läpi ennen tutkimusta.
Mikäli tiedät tai epäilet olevasi raskaana, kerro asiasta sinua hoitavalle lääkärille tai viimeistään tutkimukseen tullessasi.
Koska kuvauksessa ollaan tekemisissä voimakkaan magneettikentän kanssa, kaikki metallia sisältävät esineet kuten kellot, silmälasit, irrotettavat hammasproteesit, korut, matkapuhelimet sekä kaikki pankkikortit tulee jättää pois ennen tutkimushuoneeseen astumista.
Sydämen sisäiset metalliesineet kuten sepelvaltimoiden stentit tai tahdistinjohdot eivät ole este magneettikuvaukselle, mutta tahdistinjohdot voivat aiheuttaa häiriöitä kuvanlaatuun ja tahdistin pitää tarkastaa ennen ja jälkeen tutkimuksen.
Magneettitutkimuslaite on ontto putki, jonka sisälle sinut asetellaan makaamaan. Putken halkaisija on 70 cm ja se on molemmista päistä avoin, hyvin valaistu sekä ilmastoitu.
Sydämen magneettitutkimuksessa annetaan useimmiten tehosteainetta, jota varten käsivartesi laskimoon asetetaan kanyyli. Rintakehällesi kiinnitetään EKG-kaapelit ja rinnan päälle asetetaan niin sanottu kuvauskela.
Kuvauksen aikana kuvauslaite pitää voimakasta ääntä, jonka takia korville laitetaan kuulosuojaimet. Sydämen magneettikuvaus kestää noin 45 minuuttia. Saat soittokellon käteesi, jolla saat yhteyden tarvittaessa hoitajaa. Kuvauksen onnistuminen edellyttää paikallaan pysymistä.
Sydämen magneettitutkimus ei vaadi jälkiseurantaa eikä aiheuta rajoituksia normaaliin elämiseen. Tutkimuksessa mahdollisesti käytetty tehosteaine poistuu virtsan mukana muutamassa tunnissa. Magneettitehosteaineet ovat yleensä hyvin siedettyjä ja vakavat allergiset reaktiot ovat harvinaisia. Mahdollisia reaktioita voidaan ehkäistä ja hoitaa lääkityksellä.
Jos tutkimuksessa on käytetty tehosteainetta, tulee imettävien äitien on pitää imetystauko tutkimuksen jälkeen. Tauon aikana lypsetty maito tulee kaataa viemäriin. Hoitohenkilökunta antaa tästä tarkemmat ohjeet imettäville äideille tutkimuksen jälkeen.
Radiologi eli röntgenlääkäri katsoo ja tulkitsee magneettikuvat sekä kirjoittaa niistä lausunnon. Lääkäri, joka lähetti sinut tutkimukseen kertoo tulokset ja miten hoitoa jatketaan. Ota yhteyttä hoitoyksikköön, mikäli sinulla ei ole tiedossa vastaanotto- tai soittoaikaa.
Sydämen magneettitutkimus on kivuton, eikä sillä ole todettu olevan haittavaikutuksia.
Magneettikuvaus ei sovellu kaikille; jotkut elimistön istutteet ja vierasesineet kuten sydämentahdistin, metallisirut voivat estää kuvauksen tai vaatia erillisjärjestelyitä. Sydämen TT-tutkimus on vaihtoehtoinen tutkimusmenetelmä näissä tapauksissa.
Tarkistettu 12.11.2025

