Siirry sivun sisältöön

Akuutit leukemiat

Akuutti leukemia on pahanlaatuinen veren valkosolujen syöpä, joka etenee nopeasti. Tavallisimpia leukemiapotilaiden oireita ovat väsymys, kuume ja vuoto-oireet, esimerkiksi ien- ja nenäverenvuodot, sekä itsestään ilmaantuvat, joskus kookkaatkin mustelmat.

Leukemialla tarkoitetaan pahanlaatuista, tavallisesti valkosoluista lähtöisin olevaa verisyöpää, jossa luuytimen valkosolujen esiasteet muuttuvat syöpäsoluiksi eli blasteiksi. Leukemiassa syöpäsoluja on luuytimessä ja veressä, mutta niitä voi kertyä myös muihin elimiin, kuten iholle, imusolmukkeisiin, pernaan, maksaan tai keuhkoihin.

Leukemiat jaotellaan akuutteihin ja kroonisiin. Akuutit leukemiat etenevät nopeasti. Leukemiasolujen rakenteen mukaan leukemiat luokitellaan joko lymfaattisiin tai myeloisiin.

Suomessa vuosittain noin 300 aikuista sairastuu akuuttiin leukemiaan. Valtaosa aikuisten akuuteista leukemioista on akuutteja myeloisia leukemioita (AML) ja pienempi osa, noin 20 prosenttia, on akuutteja lymfaattisia leukemioita (ALL). Mitä iäkkäämpi ihminen, sitä todennäköisempää on, että akuutti leukemia on myeloinen. Nuorten aikuisten leukemioista valtaosa on lymfaattisia.

Tavallisimpia oireita leukemiapotilailla ovat väsymys, pitkittynyt kuume, luustokivut sekä vuoto-oireet, kuten nenä- ja ienverenvuodot, ja herkästi ilmaantuvat mustelmat. Usein potilas hakeutuu tutkimuksiin ien- tai hammastulehduksen vuoksi. Joskus potilailla on yskää ja hengenahdistusta sekä kuumetta, joihin useampikaan antibioottikuuri ei auta. Oireiden pitkittyessä päädytään tarkastelemaan verikokeita, joissa todetaan jatkotutkimuksia vaativia veriarvojen poikkeavuuksia. Leukemian oireena voi olla päänsärkyä ja esimerkiksi näköhäiriöitä tai erilaisia kehon puutumisoireita.

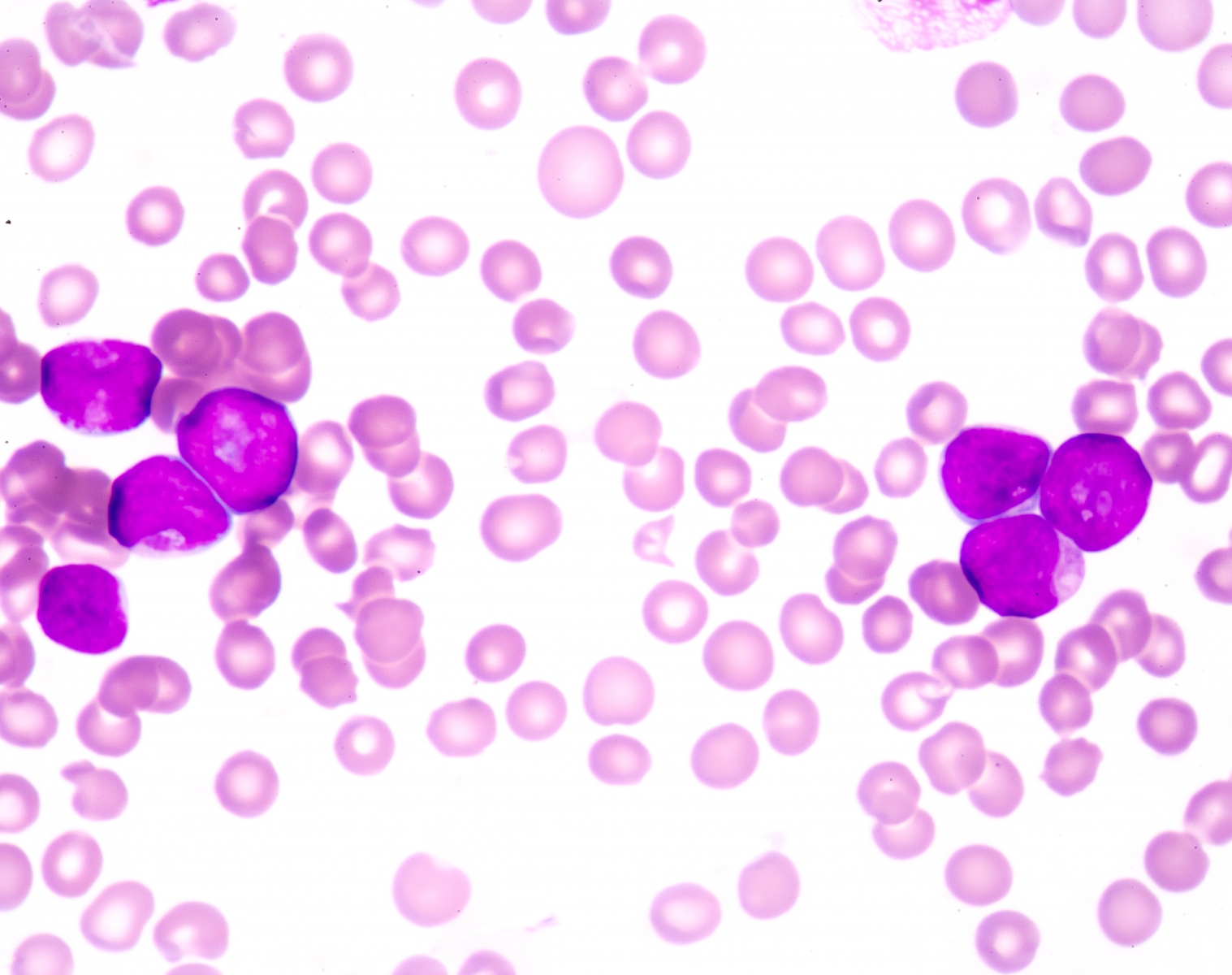
Verikokeissa pieni verenkuva (PVK) on poikkeava. Usein potilailla on anemia eli veren hemoglobiinipitoisuus (Hb) on pieni. Myös verihiutaleiden määrä (trombosyytit, tromb) on normaalia vähäisempi. Valkosolujen (leukosyytit, leuk) kokonaismäärä voi olla joko poikkeavan suuri tai pieni. Valkosolujen erittelylaskennassa (”diffi”) voidaan todeta veressä leukemiasoluja eli blasteja.

Akuutin leukemian jatkotutkimukset tehdään aina kiireellisenä, päivystyksenä. Diagnoosi perustuu luuydinnäytteessä todettuihin poikkeavuuksiin. Luuydinnäytteitä otetaan sairaalassa poliklinikalla tai vuodeosastolla.

Akuutin leukemian hoito on monisolunsalpaajahoitoa. Joskus hoitoon yhdistetään ns. vasta-ainehoitoja. Niille hyväkuntoisille potilaille, joiden leukemiaan liittyy korkea uusiutumisriski, pyritään tekemään kantasolujen siirto terveeltä luovuttajalta.

Joskus potilaan yleiskunto voi muiden sairauksien tai korkean iän vuoksi olla niin huono tai hauras, ettei vahvoja solunsalpaajahoitoja voida antaa. Silloin vaihtoehtoina ovat lievemmät hoidot esimerkiksi ihonalaisina pistoksina tai tabletteina, joilla pyritään hidastamaan taudin etenemistä. Joskus hoitolinjaksi valitaan oireenmukainen eli palliatiivinen hoito, jolloin potilaalle ei anneta solunsalpaajahoitoja vaan käytetään ns. tukihoitoja eli esimerkiksi anemiaa hoidetaan punasolusiirroin.

Akuuttien leukemioiden diagnostiikka ja hoito on keskitetty yliopistosairaaloiden (HUS, Tyks, OYS, KYS ja Tays) hematologian osastoille, minkä lisäksi Vaasan ja Porin keskussairaaloissa hoidetaan leukemiapotilaita. Aikuispotilaiden kantasolujensiirtoja tehdään HUSin Meilahden sairaalassa ja Tyksissä.

Ennuste riippuu leukemian tarkemmasta tyypityksestä ja alkuvaiheessa todetuista kromosomimuutoksista (riskiryhmät). Akuuteista promyelosyyttileukemia (APL)-potilaista solunsalpaajahoidoilla paranee 90 prosenttia, AML-potilaiden pitkän ajan elossaoloennuste on keskimäärin noin 40 prosenttia.

Tarkistettu 24.5.2019