Gå till sidans innehåll
Hälsobyn.fi - Till huvudsidan
common.loading

Akut leukemi

Akut leukemi är en elakartad cancer i de vita blodkropparna som utvecklas snabbt. De vanligaste symtomen hos leukemipatienter är trötthet, feber och blödningssymtom, t.ex. blödande tandkött och näsa, och blåmärken som uppstår av sig själv och som kan vara stora.

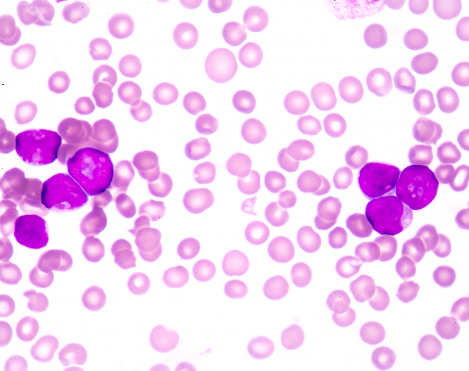
Leukemi är en elakartad blodcancer, vanligen med ursprung i vita blodkroppar, där föregångarna till vita blodkroppar i benmärgen förvandlas till cancerceller som kallas blaster. Vid leukemi finns cancercellerna i benmärgen och blodet, men de kan också samlas i andra organ som hud, lymfkörtlar, mjälte, lever eller lungor.

Leukemier delas in i akuta och kroniska. Akuta leukemier framskrider snabbt. Leukemier klassificeras enligt leukemicellernas struktur som lymfatiska eller myeloiska.

I Finland får cirka 300 vuxna personer diagnosen akut leukemi varje år. Den stora majoriteten av akuta leukemier hos vuxna är akuta myeloiska leukemier (AML) och en mindre andel, cirka 20 procent, är akuta lymfatiska leukemier (ALL). Ju äldre personen är, desto större är sannolikheten att den akuta leukemin är myeloisk. De allra flesta leukemier hos unga vuxna är lymfatiska.

De vanligaste symtomen hos leukemipatienter är trötthet, långvarig feber, skelettsmärta och blödningssymtom, t.ex. näsblod, blödande tandkött och lätt uppkomna blåmärken. Ofta söker sig patienten till undersökningar på grund av en tandkötts- eller tandinfektion. Ibland får patienterna hosta, andnöd och feber, som inte ens flertalet antibiotikakurer hjälper mot. Om symtomen kvarstår granskar man blodprover för att identifiera avvikelser i blodvärdena som kräver fortsatta undersökningar. Leukemi kan orsaka symtom som huvudvärk och till exempel synstörningar eller olika slags domningar i kroppen.

Blodprover visar en avvikande liten blodbild. Patienterna har ofta anemi, dvs. en låg hemoglobinhalt (Hb) i blodet. Antalet blodplättar (trombocyter) är också lägre än normalt. Det totala antalet vita blodkroppar (leukocyter) kan vara antingen onormalt högt eller lågt. Vid en räkning av vita blodkroppar kan leukemiceller, eller blaster, upptäckas i blodet.

De fortsatta undersökningarna för akut leukemi genomförs alltid akut på akutmottagningen. Diagnosen baseras på avvikelser som konstateras i ett benmärgsprov. Benmärgsprov tas på sjukhusets poliklinik eller på vårdavdelningen.

Akut leukemi behandlas med flera olika sorters cytostatika. Ibland kompletteras behandlingen med så kallade antikroppsbehandlingar. För patienter i gott skick, med stor risk för återfall, strävar man efter att transplantera stamceller från en frisk donator.

Ibland kan patientens allmäntillstånd vara så dåligt eller bräckligt på grund av andra sjukdomar eller ålderdom att kraftiga cytostatikabehandlingar inte kan ges. I sådana fall är alternativen mildare behandlingar såsom subkutana injektioner eller tabletter för att bromsa sjukdomsutvecklingen. Ibland väljer man en symtomatisk, dvs. palliativ, behandling, där patienten inte behandlas med cytostatikabehandling utan med stödjande behandlingar, t.ex. transfusioner av röda blodkroppar för att behandla anemi.

Diagnosen och behandlingen av akuta leukemier är centraliserad till hematologiavdelningarna vid universitetssjukhusen (HUS, Åucs, OYS, KYS och Tays), och leukemipatienter behandlas även vid centralsjukhusen i Vasa och Björneborg. Stamcellstransplantationer för vuxna patienter utförs på HUS Mejlans sjukhus och vid Åucs.

Prognosen beror på den specifika typen av leukemi och de kromosomavvikelser som upptäcks i ett tidigt skede (riskgrupper). Av patienter med akut promyelocytisk leukemi (APL) botas 90 procent med cytostatikabehandling, medan den långsiktiga prognosen för AML-patienter i genomsnitt är cirka 40 procent.

Uppdaterad 24.5.2019