Under den första ultraljudsscreeningen utreds hur många foster det finns och fastställs hur länge graviditeten pågått. Därtill kan man mäta nackspalten och undersöka fostrets anatomi i huvuddrag. Bred nackspalt kan innebära förhöjd risk för kromosomavvikelse eller strukturella avvikelser. Kromosomavvikelser kan undersökas med en kombinerad screeningundersökning.
Redan den första ultraljudsscreeningen kan stora och allvarliga strukturella avvikelser vara synliga. Om fostret konstateras ha bred nackspalt eller misstänkta strukturella avvikelser arrangeras fortsatta undersökningar.
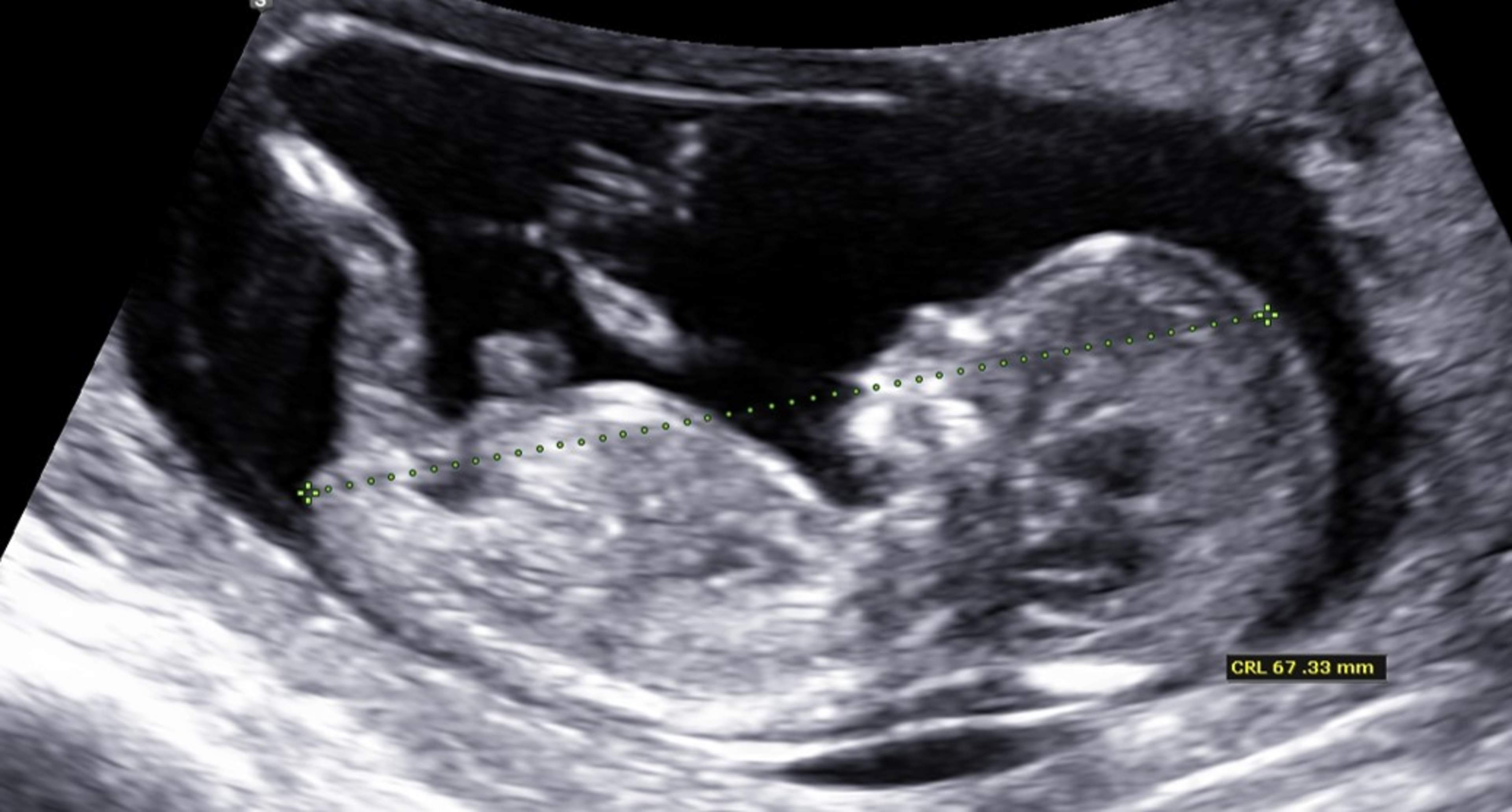
Den slutliga beräknade förlossningstiden fastställs vid den första ultraljudsundersökningen enligt fostrets sitthöjd.
Kombinerad screeningundersökning
Fosterscreeningarna utgörs av ultraljudsundersökningar, analys av markörer i mammans blodprov samt en kombination av dessa. Avvikande screeningresultat innebär inte sjukdom hos fostret, utan indikerar en förhöjd risk för fosteravvikelse. Ett normalt screeningresultat garanterar inte att barnet är friskt.
Det är frivilligt att delta i fosterscreeningundersökningar. Efter att ha fått tillräcklig information avgör den gravida själv om hon vill delta i undersökningarna. Det går att ändra sig om beslutet när som helst under screeningen, utan att det påverkar graviditetens uppföljning eller behandling.
Kombinerad screening omfattar ultraljudsundersökning och blodprov av mamman. Blodprovet analyseras för halter av hormoner och proteiner från moderkakan och fostret. I ultraljudsundersökningen mäts fostrets nackspalt och sitthöjd. Riskbedömningen påverkas också av mammans ålder. Blodprov tas av mamman före ultraljudsundersökningen i graviditetsveckorna 9+0–12+6 och ultraljudsundersökningen görs i graviditetsveckorna 11+0–13+6. Den bästa tidpunkten att besöka laboratoriet är då 10 graviditetsveckor har fullbordats.
Den vanligaste formen av kromosomrubbning är trisomi 21, eller Downs syndrom. Vid kombinerad Down-screening bedöms numera också risken för ovanligare trisomi 18 Edwards syndrom, och resultatet meddelas i screeningen.


