
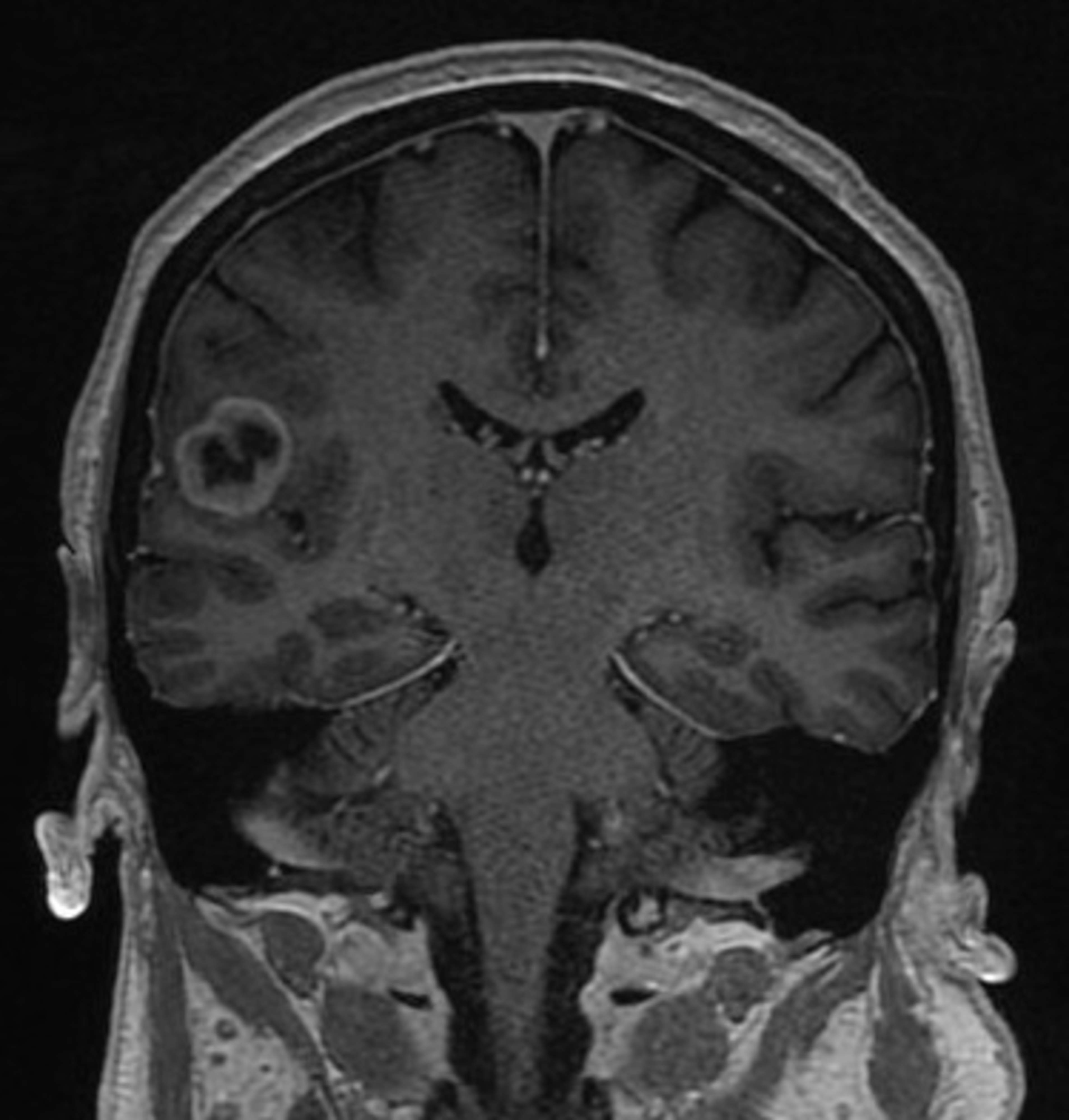
Gliom växer inuti hjärnan bland nervcellerna, med otydlig avgränsning. Utanför det mest täta tumörområdet finns det ofta enstaka tumörceller till och med i den andra hjärnhalvan. Gliom kan uppstå i alla åldrar, men är vanligare hos äldre personer.
Behandlingsformerna för gliom omfattar operation, strålbehandling och cytostatikabehandling. Vid operationen används ett kirurgiskt mikroskop för att avlägsna tumören så exakt som möjligt, men i de flesta fall blir det fortfarande lite kvar av tumören i närheten av operationshålan.

