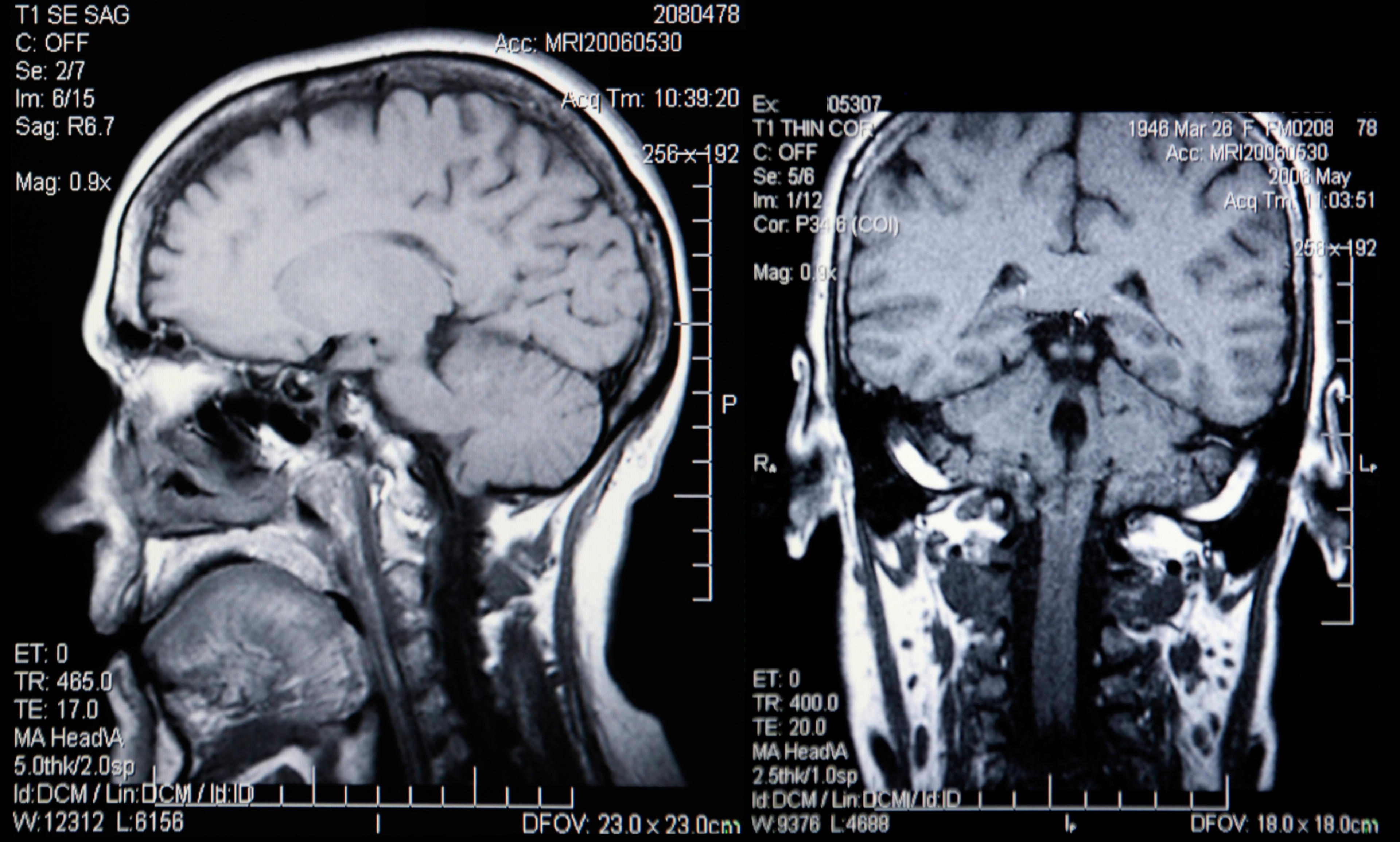
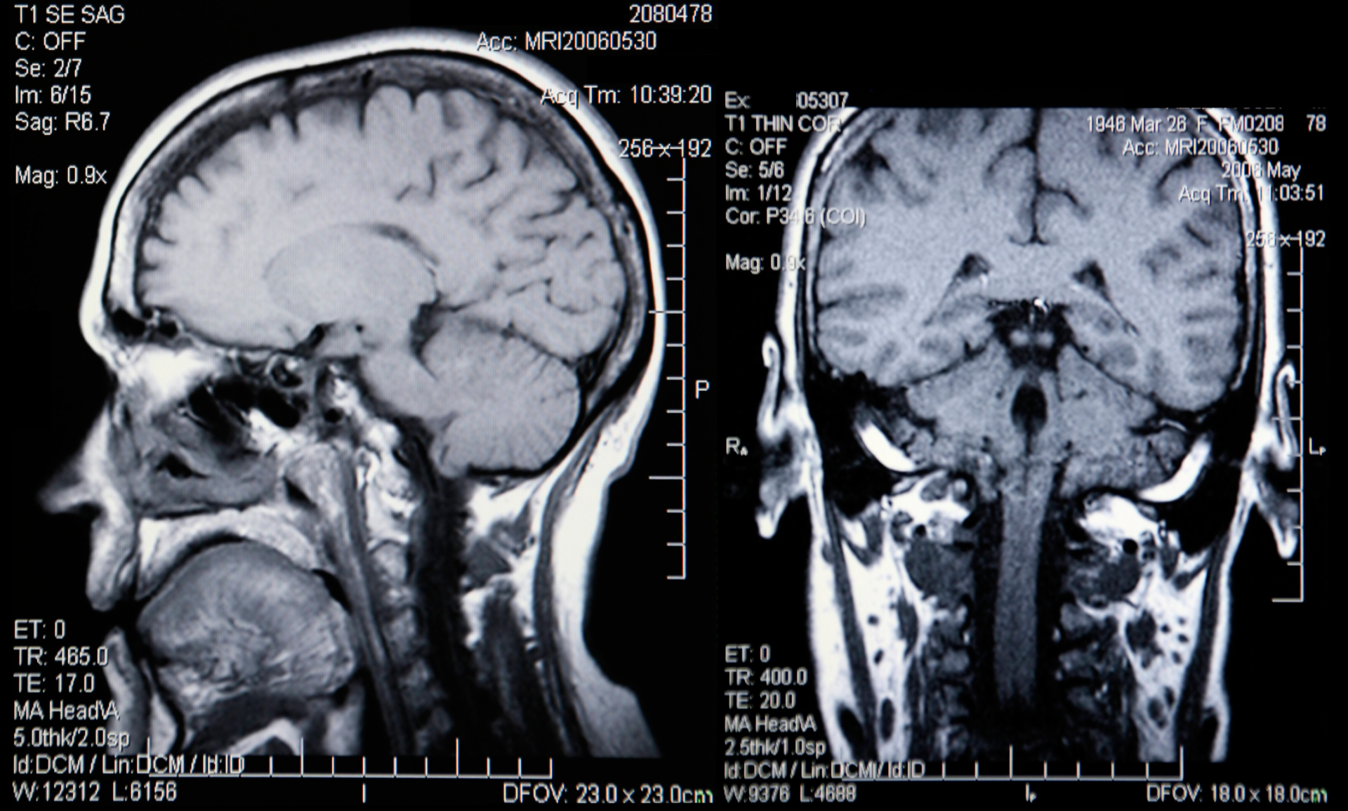
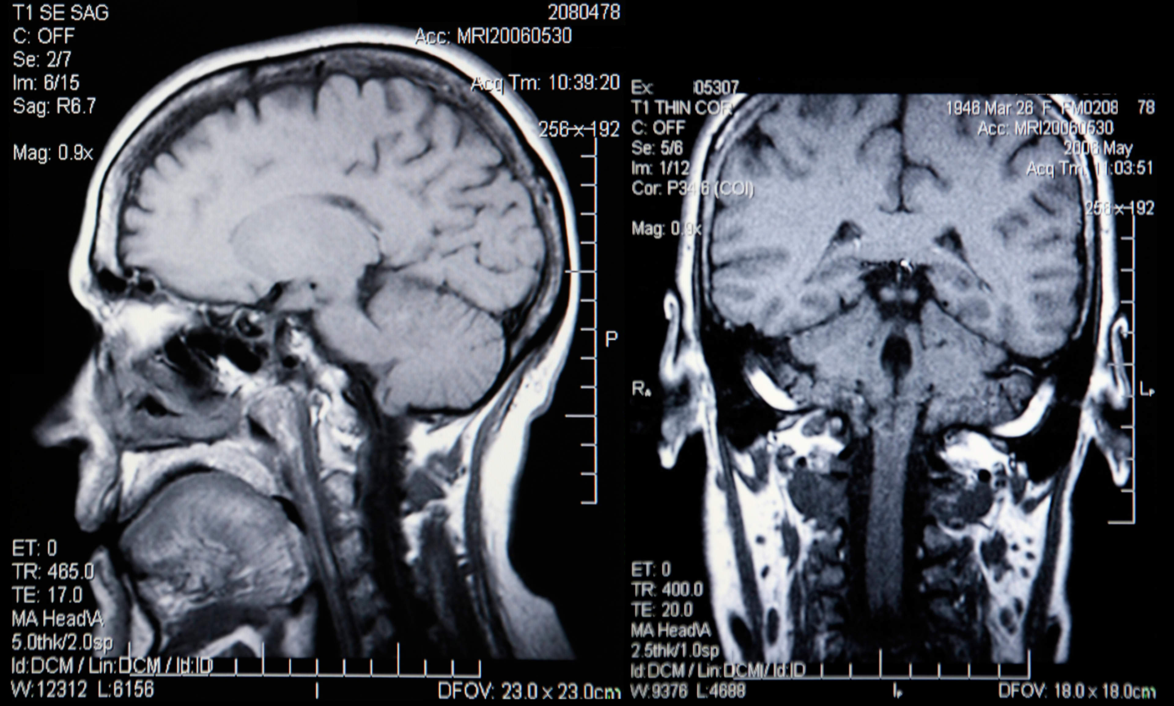
Hjärnans struktur kan avbildas med hjälp av en magnetundersökning eller datortomografi. En magnetundersökning ger mer detaljerad information om hjärnans struktur och innebär ingen strålningsexponering. Å andra sidan ger även en datortomografi exakt information om hjärnans struktur och kan vara enklare för patienten, eftersom det är en snabbare metod och avbildningen inte görs i ett rör utan i en böjd maskin. Datortomografi används också i situationer där en magnetundersökning inte är möjlig på grund av att patienten har vissa metalldelar eller en pacemaker inuti kroppen.
Hjärnavbildning kan indikera demenssjukdom eller ge en annan förklaring till minnessymtomen
En bilddiagnostisk undersökning är en del av den diagnostiska processen. Avbildning används för att söka bekräftelse för den annars misstänkta demenssjukdomen. Dessutom kan man med hjälp av bilddiagnostiska undersökningar utesluta cirkulatoriska orsaker till minnessvårigheten och viktiga, behandlingsbara orsaker, som subduralblödning, cerebrovaskulära störningar och tumörer.
Enbart en bilddiagnostisk undersökning av hjärnan räcker inte för att ställa en diagnos, eftersom hjärnan är individuell, och åldrandet och många andra sjukdomar kan orsaka liknande fynd som demenssjukdomar. Å andra sidan utesluter inte åldersenliga eller normala bilddiagnostiska fynd demenssjukdom, särskilt i de tidiga stadierna av sjukdomen.


