Ensimmäisessä seulontaultraäänitutkimuksessa selvitetään sikiöiden lukumäärä ja varmennetaan raskauden kesto. Lisäksi voidaan mitata niskaturvotus ja tutkia sikiön rakenteet pääpiirteittäin. Lisääntynyt niskaturvotus voi merkitä suurentunutta kromosomipoikkeavuuden tai rakennepoikkeavuuden riskiä. Kromosomipoikkeavuuksia voidaan tutkia yhdistelmäseulontatutkimuksella.
Ensimmäisessä ultraääniseulontatutkimuksessa voidaan jo nähdä suuret ja vaikeat rakennepoikkeavuudet. Jos sikiöllä todetaan korostunut niskaturvotus tai on epäily rakennepoikkeavuudesta, järjestetään jatkotutkimukset.
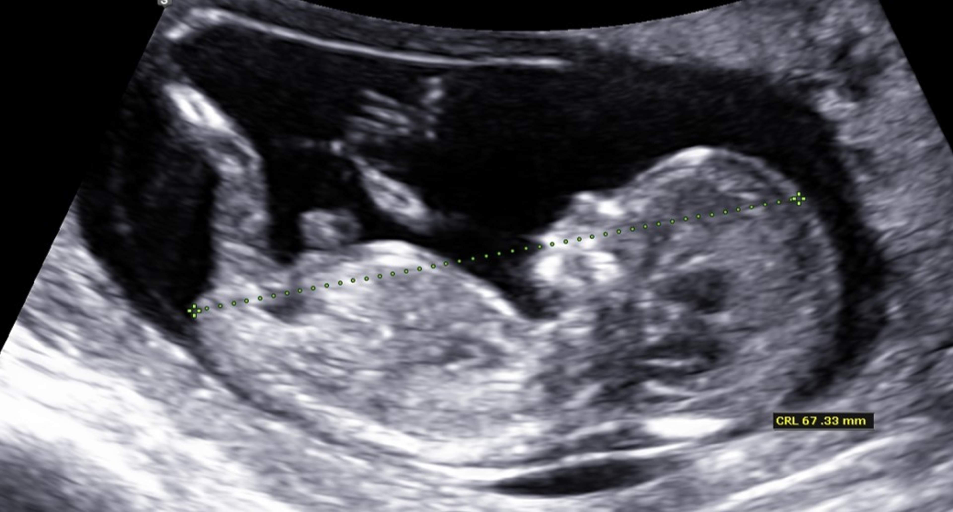
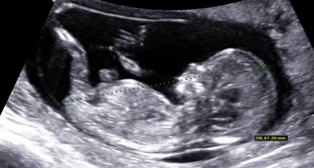
Lopullinen laskettu aika määritetään ensimmäisen ultraäänitutkimuksen yhteydessä. Määritys perustuu sikiön pää-perämittaan.
Yhdistelmäseulontatutkimus
Sikiöseulontatutkimuksia ovat ultraäänitutkimukset, äidin verinäytteestä määritettävät merkkiaineet sekä näiden yhdistelmät. Poikkeava seulontatulos ei merkitse sikiön sairautta, vaan sikiöpoikkeavuuden kohonnutta riskiä. Normaali seulontatulos ei takaa tervettä lasta.
Sikiöseulontatutkimuksiin osallistuminen on vapaaehtoista. Riittävän informaation jälkeen raskaana oleva päättää itse haluaako osallistua tutkimuksiin. Päätöksen osallistumisesta voi muuttaa missä tahansa seulonnan vaiheessa ilman, että se vaikuttaa raskauden seurantaan tai hoitoon.
Yhdistelmäseulonta sisältää ultraäänitutkimuksen ja äidin verinäytteen. Verinäytteestä määritetään istukka- ja sikiöperäisiä hormoni- ja valkuaisainepitoisuuksia. Ultraäänitutkimuksessa mitataan sikiön niskaturvotuksen lisäksi sikiön pää-perämitta. Riskiarvioon vaikuttaa myös äidin ikä. Verinäyte otetaan äidiltä ennen ultraäänitutkimusta raskausviikoilla 9+0–11+6 ja ultraäänitutkimus tehdään raskausviikoilla 11+0–13+6. Paras ajankohta käydä laboratoriossa on, kun on täynnä 10 raskausviikkoa.
Kromosomihäiriöiden tavallisin muoto on 21-trisomia eli Downin oireyhtymä. Downin yhdistelmäseulonnassa arvioidaan nykyisin riskiä myös harvinaisempaan 18-trisomiaan eli Edwardin syndroomaan, jonka tulos ilmoitetaan seulonnassa.


