
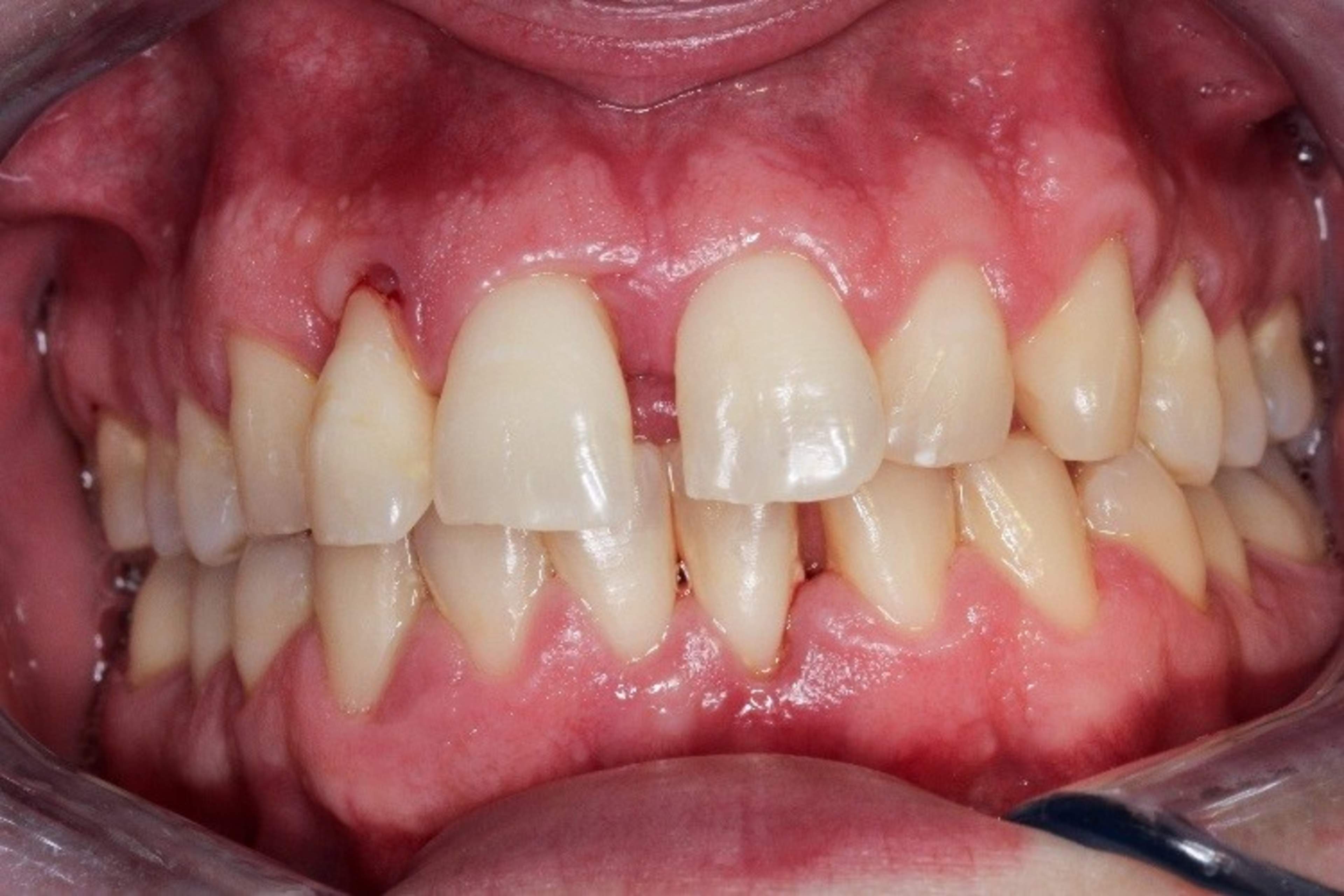
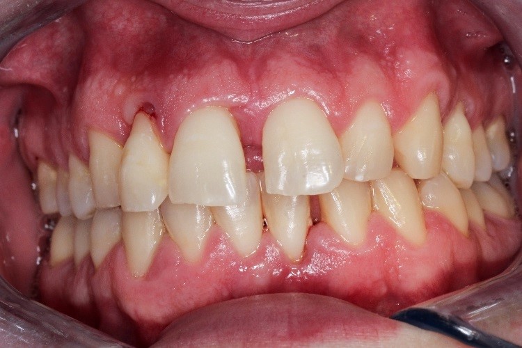
A periodontal disease is an inflammatory disease of the mouth resulting from bacteria. The inflammation destroys the connective tissues keeping the teeth in place as well as bone. In this case, you talk about a disease of the soft and bone tissues supporting the teeth. The medical term for it is periodontitis. Periodontitis is very commonplace in Finland.
The infection of the soft tissue is normally painless, and its only symptom is bleeding gums. The gums can be red and swollen. The infection can be visible as gaps appearing between the teeth or the dental arch changing shape. The condition can remain asymptomatic so long that tooth loss becomes a possibility.
The commercially available Periosafe® quick test can detect an infection of the supporting tissue of the teeth based on the enzymes in saliva. The test does not replace an oral examination. It identifies people who need treatment. After a positive result, you should immediately have further examinations and treatment.

